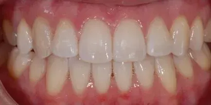
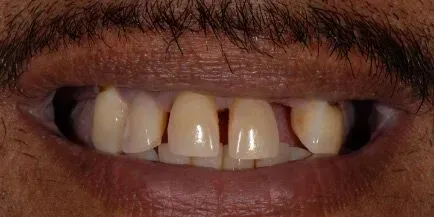
Smiles Gallery
Nona Dental Arts In Orlando – Smiles Gallery
When you’re interested in updating or transforming your smile, we understand that seeing photos of patients who’ve been treated by our Nona Dental Arts team will be important to you.
Take a few minutes to examine these amazing before-and-after patient transformations and call us with any questions you may have!









